Osteomas affect all ages, including children, but are most commonly diagnosed in patients between the ages of 40 and 60. While osteomas are not cancerous, they can still cause symptoms such as headaches, sinus infections, facial asymmetry, hearing issues, and/or vision problems. The type of symptom present varies according to the osteoma’s location within the head and neck. Treatment is only necessary for osteomas that are visible or causing symptoms. Accurate diagnosis of an osteoma often requires a thorough history, physical examination, and radiographic imaging. The latter is most often accomplished with a CT (or CAT scan).

This test can produce high-resolution images of the inside of your head and neck in order to determine the tumor’s size and placement within the body. Osteomas, that are visibly apparent or associated with any of the aforementioned symptoms, often require surgical excision. This is often a simple, same day ambulatory (outpatient), procedure, with little recovery and downtime. Dr. Tanna can often perform the surgery with a minimally invasive endoscopic surgery technique. Alternatively, larger or more difficult to reach osteomas require an open approach.

Close Up of Dr. Tanna

Case Study: Osteoma Removal With Minimally Invasive Endoscopic Surgery

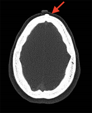
The patient in this case study is a 52 year-old female who has had a forehead growth for many years. More recently she has noted discomfort and increased size of the area. She was also bothered by its appearance and wanted to have it removed. A CT scan, performed before surgery, confirmed the diagnosis of osteoma.

Front of a Skull

Side of a Skull

Top of a Skull

Surgical excision was performed with a hidden scar in the hairline. This was accomplished with a minimally invasive endoscopic surgical technique. The osteoma was excised without an incision or visible scar on the face. Instead it was performed through the scalp.

ForeheadForehead

Side Profile of the Top of a HeadSide Profile of the Top of a Head
Banner media

Case Study - Osteoma

Woman's Scalp
Contact us media
Accessibility: If you are vision-impaired or have some other impairment covered by the Americans with Disabilities Act or a similar law, and you wish to discuss potential accommodations related to using this website, please contact our Accessibility Manager at (516) 531-2111.